Malattia parodontale nel cane
“Un problema silenzioso ma molto comune”
La malattia parodontale è una delle patologie più frequenti nei nostri animali da compagnia.
Colpisce i tessuti che sostengono il dente (gengive, osso e legamento) e, se non trattata, può portare alla perdita dei denti e a problemi anche in altri organi. Tutto comincia con la placca, un sottile strato formato da batteri, saliva e residui di cibo che si deposita sui denti.
Se non viene rimossa, la placca irrita le gengive causando gengivite, cioè arrossamento, gonfiore e alito cattivo.Colpisce i tessuti che sostengono il dente (gengive, osso e legamento) e, se non trattata, può portare alla perdita dei denti e a problemi anche in altri organi. Tutto comincia con la placca, un sottile strato formato da batteri, saliva e residui di cibo che si deposita sui denti.
In questa fase la situazione è ancora reversibile: basta una corretta igiene orale per far tornare le gengive sane.
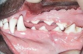
Se la placca resta a lungo sul dente, si indurisce formando il tartaro. L’ infiammazione si estende in profondità, dando origine alla parodontite. Questa comporta la distruzione progressiva dell’osso alveolare e del legamento parodontale, con conseguente mobilità e perdita del dente.
La malattia parodontale è irreversibile, ma può essere stabilizzata con un trattamento di igiene e la prevenzione.
La malattia parodontale è irreversibile, ma può essere stabilizzata con un trattamento di igiene e la prevenzione.
Importante ricordare che i batteri presenti nella bocca infiammata possono entrare nel sangue e raggiungere cuore, reni e fegato, favorendo infezioni o peggiorando malattie già presenti.
Curare la bocca del nostro animale non è solo una questione di “alito fresco”, ma di salute generale.
Curare la bocca del nostro animale non è solo una questione di “alito fresco”, ma di salute generale.
Come prevenire la malattia parodontale:
- Spazzolamento quotidiano: usa sempre uno spazzolino a setole morbide e un dentifricio specifico per animali.
- Alimenti e snack dentali: scegli solo prodotti approvati che aiutano a ridurre la placca in modo sicuro.
- Controlli regolari dal veterinario: una visita orale ogni 6–12 mesi permette di individuare precocemente i problemi.
Se è già presente il tartaro o l’alito è particolarmente cattivo, serve una igiene dentale.
Il veterinario eseguirà una detartrasi con strumenti ad ultrasuoni, sempre in anestesia generale, per pulire anche sotto le gengive.
Dopo la pulizia, i denti vengono lucidati per rallentare la formazione di nuova placca.
Nei casi più gravi, può essere necessario estrarre i denti danneggiati. L’estrazione dentale è prevista per tutti i denti che hanno uno scarso sostegno osseo.
Il veterinario eseguirà una detartrasi con strumenti ad ultrasuoni, sempre in anestesia generale, per pulire anche sotto le gengive.
Dopo la pulizia, i denti vengono lucidati per rallentare la formazione di nuova placca.
Nei casi più gravi, può essere necessario estrarre i denti danneggiati. L’estrazione dentale è prevista per tutti i denti che hanno uno scarso sostegno osseo.
Malattia parodontale nel gatto
Si stima che oltre il 70–80% dei gatti adulti presenti segni di malattia parodontale, anche se spesso il proprietario non se ne accorge fino alle fasi avanzate.
È una malattia infettiva e infiammatoria che colpisce i tessuti di sostegno del dente:
È una malattia infettiva e infiammatoria che colpisce i tessuti di sostegno del dente:
- gengiva,
- legamento parodontale,
- cemento radicolare,
- osso alveolare.
Con il tempo, porta a riassorbimento osseo, dolore cronico e perdita dei denti.
La malattia parodontale felina può presentarsi in modo più complesso rispetto al cane, e spesso è associata con altre patologie orali tipiche della specie:
- Stomatite cronica felina "Feline chronic gingivostomatitis" (FCGS): è una reazione immuno-mediata grave a carico di mucosa orale, faringe e lingua. Spesso si sviluppa a partire da una parodontite cronica non controllata. Si ritiene coinvolta una risposta anomala a batteri orali o virus (calicivirus, herpesvirus, FIV, FeLV). Provoca dolore intenso, difficoltà ad alimentarsi, salivazione e alitosi marcata.
- Lesioni odontoclastiche di riassorbimento FORL (Feline Odontoclastic Resorptive Lesions): Sono causate dall’attività anomala di cellule chiamate odontoclasti, che “riassorbono” la struttura del dente. Possono comparire insieme alla malattia parodontale o essere una condizione separata. Il dente si indebolisce e spesso si frattura, causando dolore intenso.
La diagnosi accurata richiede:
- Visita orale completa in anestesia generale, poiché il gatto difficilmente collabora per una valutazione approfondita da sveglio.
- Radiografie dentali intraorali, per valutare il riassorbimento osseo, la perdita di supporto e le lesioni non visibili a occhio nudo.
- Sondaggio parodontale per misurare la profondità delle tasche gengivali.
Nei casi gravi, i denti con perdita ossea marcata o lesioni da riassorbimento vengono estratti per eliminare il dolore e l’infezione. Dopo il trattamento, è essenziale mantenere la bocca pulita per prevenire recidive:
Come nel cane, i batteri orali possono diffondersi nel sangue e contribuire a: endocardite, nefropatia, epatopatie infiammatorie ecc.
Per questo motivo la cura orale del gatto è anche una misura preventiva per la salute generale.